Обзор методов удаления зубного камня

Что такое зубной камень?
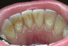
Зубной камень это и есть твердый налет на эмали, который накапливается, как правило, в труднодоступных местах (например, в области шейки зуба или в межзубных щелях). Состоит он из остатков пищи, бактерий, солей фосфора и железа, имеет желтоватую или коричнево-зеленоватую окраску, у курильщиков может быть черным. В большинстве случаев зубной камень образуется на молярных зубах, хотя передний зубной ряд также может повреждаться.
Причины появления зубного камня — недостаточная гигиена ротовой полости, нарушения обменных процессов в организме, редкое употребление твердой пищи, а также жевание только одной стороной челюсти. Использование некачественных зубных паст и щеток тоже способствует накоплению твердых отложений на поверхности зубов.
Виды зубного камня
Его разделяют на два типа:
- Наддесневой — локализуется на поверхности зуба над десневым краем. Как правило, он имеет белую или беловато-желтую окраску, твердую или глиноподобную консистенцию, возникает, как правило, на передних зубах нижней челюсти (на их язычной поверхности), а также на верхних больших коренных зубах со стороны щек;
- Поддесневой — является плотным и твердым, имеет темно-коричневый или зеленовато-черный цвет, наиболее часто диагностируется у пациентов старше 40 лет. Образуется зубной камень данного вида в десневых или пародонтальных карманах, поэтому при визуальном осмотре не обнаруживается.
Следует отметить, что зубные отложения не только портят внешний вид зубов, но и негативно влияют на здоровье, поскольку являются колониями микроорганизмов, которые активно размножаются в ротовой полости и являются источником инфекции для всего организма. Кроме этого, микрофлора, которая локализуется в зубном камне, в процессе своей жизнедеятельности выделяет кислоты, которые нарушают целостность эмали и провоцируют развитие поверхностного кариеса.
Стоит помнить, что зубные отложения способны образовываться не только на внешних поверхностях зубов, но и проникать внутрь десны, что в дальнейшем приводит к пародонтиту. Именно поэтому профессиональная чистка зубов от камня является залогом не только красивой улыбки, но и здоровья всего зубного ряда.
Зубной камень: фото




Профессиональное удаление зубного камня
Оно состоит из нескольких этапов, которые включают применение специального ручного инструментария или ультразвукового оборудования, лазера или химических соединений, шлифовку и полировку поверхности зубов. Для предупреждения чрезмерного образования налета зубы также могут покрывать специальной защитной пастой.
Надо помнить, что минеральные отложения очень плотно прилегают к поверхности зубов и имеют достаточно плотную консистенцию, поэтому удаление зубного камня в домашних условиях редко дает положительный результат. Если человек замечает у себя налет, который не удается удалить при обычной чистке зубов, ему следует обратиться к стоматологу.
Снятие зубного камня механическим способом
Такое удаление осуществляется с помощью специальных инструментов (набор Загса или Маккола). Это крючки, которые позволяют удалять минерализованные отложения на различных участках зубов. На сегодняшний день данная методика применяется крайне редко.
Зубы до и после чистки методом Air-Flow
К механическим способам борьбы с твердым налетом на поверхности зубов относится метод Air-flow. Он предусматривает обработку лечебными смесями, которые подаются под давлением. При этом зубные поверхности эффективно очищаются и от мягкого налета, и от зубного камня. Процедура безболезненна, практически не имеет противопоказаний к проведению, не оказывает вредного воздействия на зубы или десны.
Химическая очистка
При чрезмерной подвижности зубов, наличии слишком плотных отложений на их поверхности или при индивидуальных противопоказаниях к применению других методик удалить зубной камень можно с помощью специальных химических средств. Они представляют собой кислоты или щелочи, которыми стоматолог обрабатывает поврежденные участки. Минерализованные отложения при этом размягчаются и легко удаляются механически с помощью специальных инструментов.
Перед тем, как решиться на такую процедуру, следует учесть все ее плюсы и минусы. Конечно, данная методика дает положительные результаты, но не стоит забывать, что агрессивные химические соединения, которые применяют в данном случае, могут повредить эмаль, вызвать появление чрезмерной чувствительности зубов, а при попадании на ткани десен привести к их воспалению.
Ультразвук в борьбе с зубным камнем
Одним из самых популярных методик удаления твердых минерализованных отложений является влияние на них ультразвуком. Это довольно простая и безболезненная процедура, которая не только помогает избавиться от камня, но и отбелить зубы примерно на два тона без применения химических соединений.
Специальный прибор генерирует ультразвуковые колебания, которые эффективно разбивают зубные отложения, но в то же время абсолютно не влияют на здоровую эмаль. Кроме этого, эффект кавитации позволяет не только легко удалять твердый налет, но и дезинфицировать поддесневые участки. При повышенной чувствительности зубов во время процедуры пациенты могут испытывать определенный дискомфорт, поэтому манипуляцию рекомендуют проводить под местной анестезией.
Чтобы избавиться от зубного камня надолго, после ультразвуковой обработки зубную эмаль полируют. Это устраняет трещины и шероховатости, в которых скапливаются бактерии и остатки пищи. Кроме этого, могут проводиться аппликации специальными веществами, которые содержат фтор и кальций и предупреждают дальнейшее разрушение эмали.
Следует отметить, что ультразвуковое удаление камня на поверхности зубов противопоказано детям, у которых меняется прикус, а также пациентам со злокачественными заболеваниями, патологиями сердечно-сосудистой системы, инфекционными поражениями. При наличии кардиостимулятора или зубных протезов применять данную методику также запрещено.
Лазерное лечение зубного камня
Лазерное удаление минерализованного зубного налета является одним из самых современных методик, которые применяются в сфере стоматологии. С помощью специального прибора налет дробят на мелкие частицы, которые затем вымываются с помощью специального спрея. Суть метода заключается в воздействии лазерного луча на молекулы воды, которые размещаются в зубных отложениях.
Манипуляция абсолютно безболезненна. Она проводится без прямого контакта с поверхностью зуба, поэтому исключается возможность повреждения эмали или десен. Действие лазера обладает бактерицидными свойствами, поэтому прекращается дальнейшее развитие кариеса. Данная методика позволяет не только убрать зубной камень, но и сделать улыбку ярче — после процедуры зубы становятся, как правило, на 2-3 тона светлее.
Стоит отметить, что при наличии значительного количества фотополимерных пломб зубная эмаль отбеливается неравномерно, в таком случае рекомендуют другие методы борьбы с зубными отложениями. Кроме этого, цена лазеротерапии достаточно высокая, поэтому не каждый пациент имеет возможность ее провести.
Сколько стоит чистка зубов от камня?
Цена зависит от уровня стоматологической клиники и квалификации врача, методики, которая применяется в процессе лечения и участка, который подлежит обработке. Механическое удаление отложений на зубах и ультразвуковая чистка стоит 300-1500 рублей (100 рублей за очистку одного зуба – это минимальная стоимость в стоматологических клиниках Москвы). Лазеротерапия обойдется несколько дороже.
Профилактика
Чтобы предупредить появление нового минерализованного налета, внимание следует уделить тщательной гигиене ротовой полости. С налетом эффективно борются зубные пасты, содержащие тенздиды и абразивные вещества (например, карбонат кальция). Эффективной оказывается и зубная паста, в состав которой входит триклозан. Он уменьшает образование микробных бляшек и зубного камня, предупреждает развитие гингивита.
Стоит помнить, что даже самый тщательный гигиенический уход за полостью рта не защищает от появления новых зубных отложений, поэтому нужно хотя бы дважды в год обращаться к стоматологу для профилактического осмотра и своевременного лечения.













Комментарии
А у нас вода такая, что чем не чисти, все равно камень появляется :(
Спасибо за инфу про камни!!
Добавить комментарий