Отбеливание зубов по системе Zoom 3

Что это такое?
Основой методики является нанесение на зубную эмаль гелевого состава с высоким процентным содержанием перекиси карбамида или водорода, активация которого происходит при облучении специальной ультрафиолетовой лампой. В результате распада перекиси образуются ионы кислорода, проникающие в эмаль и вызывающие разрушение красящих пигментов.
Преимущества и недостатки
Система Zoom 3 имеет ряд преимуществ перед другими методами:
- технология не наносит вреда эмали зубов, это наиболее мягко воздействующая методика из всех существующих на сегодняшний день;
- результат будет положительным даже если изменение цвета эмали было вызвано приемом медикаментозных препаратов (таким действием обладают антибиотики тетрациклинового ряда), флюорозов или использованием резорцин-формалиновых материалов для пломбировки каналов;
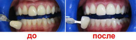
- осветлить зубы можно более чем на 8 тонов, такие результаты невозможны при использовании других систем;
- для приобретения красивой улыбки достаточно одного визита к врачу (если у человека нет проблем в полости рта);
- отзывы об отбеливании при помощи этой системы свидетельствуют о длительности сохранения эффекта до 5 лет.

К основным недостаткам использования этой методики можно отнести:
- дискомфорт (у некоторых пациентов даже появление боли) при нагревании тканей зубов во время обработки лампой с ультрафиолетовым излучением;
- гель может травмировать мягкие ткани при случайном попадании на них;
- Несколько дней после проведения процедуры эмаль зубов может быть чувствительной к перепадам температур (холодная или горячая пища);
- если отбеливание зубов Zооm 3 было проведено с нарушениями технологии или временного режима, зубы могут стать неестественного матово-белого цвета (эффект переотбеливания);
- существенным недостатком процедуры являются высокие цены, примерная стоимость около 9000-11000 рублей.
Этапы проведения процедуры
- Определение цвета эмали по шкале vita, выбор оптимального для пациента оттенка;
- Обработка губ и щек кремом, защищающим от воздействия ультрафиолетового света, фиксация их ретрактором, защита глаз пациента специальными очками;
- Нанесение на десну мгновенно твердеющего состава, защищающего мягкие ткани от травмирования при попадании на них геля;
- Нанесение тонкого слоя геля на зубы из зоны улыбки (включая вторые премоляры);
- Засвечивание специальной лампой, которое занимает 15-20 минут;
- Тщательное снятие остатков действующего вещества, и начало следующего цикла отбеливания (повтор этапов с четвертого по шестой), всего в процедуре три цикла;
- Удаление остатков защитных веществ и геля, нанесение на эмаль средства с реминерализующим эффектом.
Процедура практически безопасна, если ее проводит опытный стоматолог, соблюдающий методику меры безопасности. Повторить отбеливание можно только спустя полгода.
Противопоказания
Проведение отбеливания зубов с использованием данной методики имеет некоторые противопоказания:
- детский и подростковый возраст пациента (до 18-ти лет проведение процедуры не рекомендуется);
- индивидуальная непереносимость компонентов геля и защитных веществ;
- наличие психических расстройств или эпилепсии;
- беременность и период лактации;
- заболевания органов ротовой полости (кариес, сколы зубной эмали, заболевания десны и пародонта – при их наличии необходима тщательная санация);
- повышенный рвотный рефлекс;
- заболевания, при которых развивается повышение чувствительности организма к ультрафиолетовому излучению;
- некоторые медикаменты повышают светочувствительность, к ним относятся оральные противозачаточные препараты, антибиотики тетрациклинового ряда, фенотиазины, ибупрофен;
- онкологические заболевания (в особенности меланома);
- курс лечения ультрафиолетом или фотохимиотерапии.
Для того чтобы сохранить полученный цвет эмали необходимо соблюдать простые правила ухода за отбеленными зубами:
- в первую неделю не употреблять горячую или холодную пищу, а также кислые продукты;
- отказаться от курения, минимально употреблять красящие напитки (красное вино, кофе и чай);
- для гигиены ротовой полости дома использовать только качественные, рекомендованные специалистом средства для ухода за зубами;
- проводить регулярную профессиональную чистку зубов у стоматолога (не реже чем раз в году);
Отбеливание Zооm 3 в домашних условиях
Процедура отбеливания, которую проводит специалист в клинике, при своих великолепных результатах все таки достаточно дорогое удовольствие. Можно использовать более доступное по цене домашнее отбеливание, которое разработано фирмой Рhillрs Zооm для ночного или дневного использования. В состав каждого набора входит гель, который необходимо нанести на зубы под специальную каппу (на несколько часов в течение дня или на ночь) и препарат аморфного фосфата кальция.
При помощи такой системы можно изменить оттенок эмали на 3-4 тона, но использовать ее надо на протяжении 10-15 дней (действует система достаточно медленно), результат, полученный при отбеливании, может сохраняться до года.













Добавить комментарий