Симптомы и лечение пародонтита

Что такое пародонтит?
Пародонтит это воспалительный процесс, развивающийся в тканях, которые окружают и удерживают зуб (пародонт) и проявляющийся деструктивными процессами в кости и связочном аппарате. Статистика свидетельствует о том, что пародонтит является одним из наиболее широко распространенных заболеваний, с которыми сталкиваются стоматологи.
Строение и функции пародонта
К тканям пародонта относятся: поверхностный слой корня зуба (цемент), связочный аппарат (волокна периодонтальной связки), костные стенки лунки (альвеолы) и десна. Все они прочно связаны и выполняют следующие функции:
- опорно-удерживающую и амортизирующую;
- трофическую или питательную;
- барьерную;
- пластическую;
- функцию рефлекторной регуляции.

Возможные осложнения пародонтита
Воспаление, развивающееся в тканях пародонта, приводит к резорбции костной ткани и нарушению междесневого соединения, что может стать причиной расшатывания и выпадения зубов. Несвоевременное лечение заболевания приводит к общей интоксикации организма, результатом которой могут стать:
- повышение уровня глюкозы в крови;
- развитие заболеваний, связанных с интоксикационными процессами в организме;
- влияние интоксикации на сердечнососудистую систему может стать одним из факторов, провоцирующих развитие инфарктов и инсультов;
- такая болезнь зубов, как пульпит может стать следствием воспалительного процесса в периодонте — при попадании инфекции в канал зуба по его мелким ответвлениям возможно поражение сосудисто-нервного пучка (пульпы зуба) и развитие воспалительного процесса в нем;
- инфицирование костной ткани может привести к развитию остемиелита;
- флегмоны и абсцессы возможны при распространении инфекции на мягкие ткани.
Виды заболевания
Классификация заболевания проводится по нескольким факторам. По распространенности воспалительного процесса специалисты выделяют две формы пародонтита:
- Генерализованная – распространение воспалительного процесса происходит на весь пародонт челюсти (чаще генерализованный пародонтит встречается на обеих челюстях одновременно).
- Локализованная – воспаление пародонта развивается в области одного-двух зубов и не распространяется на расположенные рядом структуры.
По длительности течения процесса:
- Острый – достаточно редко встречающаяся форма пародонтита, которая характеризуется внезапным началом и быстрой деструкцией тканей пародонта.
- Хронический – заболевание протекает с периодами обострения и ремиссии.
По тяжести клинических проявлений выделяют следующие степени:
- начальная;
- легкая;
- средняя;
- тяжелая.
Причины развития различных форм пародонтита
Острый пародонтит развивается в основном после травм — химических (влияние различных веществ на ткани пародонта), физических (термические ожоги), обширные механические повреждения. Эта форма заболевания может также развиваться как осложнение острого язвенно-некротического гингивита.
Хронический локализованный пародонтит может появиться по нескольким причинам:
- Непрофессиональное лечение зубов, в результате которого были установлены пломбы, не соответствующие анатомической форме зуба, в результате чего нависающие края травмируют край десны и являются причиной задержки пищи в промежутках между зубами, что и приводит к развитию воспалительного процесса.
- Наличие кариозных полостей с апроксимальной стороны зуба.
- Неадекватное протезирование, после которого широкие коронки, неправильно изготовленные съемные или мостовидные протезы травмируют десну.
- Травма десны в результате физического воздействия (ушиб) или нарушения прикуса (создание так называемой супраокклюзии). В случае, если зубы смыкаются неравномерно и есть участок на который накусывание идет в первую очередь (суперконтакт), из-за повышенной нагрузки в этом месте и развивается воспаление пародонта. Причиной супеконтакта может быть пломба, завышающая прикус или отсутствие части зубов.

Причины и факторы, провоцирующие развития генерализованного воспалительного процесса в пародонте следующие:
- низкая гигиена ротовой полости, приводящая к скоплению и активации патогенных микроорганизмов;
- нарушение функционирования иммунной системы, приводящее к снижению общей и местной защитной реакции организма;
- нарушение скорости обменных процессов в пародонте;
- аномальный прикус или неправильное месторасположение отдельных зубов в ряду (сдвиги и повороты по оси);
- сниженная нагрузка на зубодесневой аппарат из-за употребления в пищу преимущественно мягких продуктов;
- воздействие профессиональных (химические вещества) или экологических (повышенный радиационный фон) вредных воздействий, постоянных стрессов;
- наличие некоторых заболеваний (атеросклероз, диабет, заболевания ЖКТ);
- период беременности (на первое место в это время выступает изменение гормонального фона);
- вредные привычки, несбалансированный рацион питания, излишнее употребление некоторых препаратов;
- наследственная предрасположенность.
В детском возрасте пародонтит встречается крайне редко, причинами развития заболевания у детей могут стать заболевания крови и несоблюдение гигиены ротовой полости при различных инфекционных и воспалительных заболеваниях.
Клиническая картина
Симптомы пародонтита различных форм отличаются степенью выраженности и распространения воспалительного процесса, а также причинами, которые его вызвали. При отсутствии лечения наиболее распространенной формы пародонтита (генерализованной) наблюдается постепенное наращивание клинической симптоматики вплоть до полной резорбции кости альвеолярного отростка, расшатывания и выпадения здоровых зубов. При локальном процессе те же стадии воспаления развиваются в ограниченной области.
Начальная степень генерализованного пародонтита обратима и чаще всего проявляется следующей симптоматикой:
- образование мягких зубных отложений;
- проявления хронического гингивита в более выраженной форме (кровоточивость десны, боль при чистке зубов и приеме пищи, появление пародонтальных карманов глубиной до 1-1,5 мм, появление слабой подвижности зубов);
- на рентгенограмме появляются очаги деструкции в кости альвеолярного отростка.
Признаки пародонтита легкой степени отличаются тем, что:
- на зубах можно визуально определить большое скопление мягких зубных отложений;
- край десны и ее сосочки воспалены, резко гиперемированы или цианотичны;
- наблюдается появление кровотечения во время гигиенических процедур или употребления твердых продуктов;
- на рентгенограмме можно увидеть резорбцию кости до четверти длины корня;
- подвижность зубов до І степени оголение корней до ¼ длины;
- развиваются пародонтальные карманы с гнойно-серозным отделяемым, глубина их может достигать трех-четырех миллиметров.
При средней степени развития заболевания выраженность симптоматики продолжает нарастать и проявляется в следующих патологических изменениях:
- увеличивается количество и глубина (до 5-6 м) образованных пародонтальных карманов, а также объем экссудата, выделяемого из них;
- резорбция кости может достигать 1/2 длины корня;
- зубы становятся более подвижными (І и ІІ степень подвижности);
- может наблюдаться гипертрофическое разрастание десны или оголение корней зубов до 1/3 их длины;
- при длительно текущем процессе с частыми обострениями может наблюдаться образование абсцессов в десне;
- в этой стадии заболевания начинают формироваться различные деформации зубного ряда (расхождение зубов, с образованием широких промежутков, заползание их друг на друга, наклоны и повороты);
- у пациентов возможно развитие астенического синдрома (быстой утомляемости, общей слабости, снижение активности иммунитета, частые вирусные и простудные заболевания).
Тяжелая степень заболевания характеризуется следующими признаками:
- обострения возникают чаще и сопровождаются образованием пародонтальных абсцессов, кровотечениями и сильно выраженной болью в деснах;
- глубина карманов при этой стадии превышает 7 мм;
- резорбция кости развивается настолько, что корень может оголяться полностью;
- подвижность достигает ІV степени, что приводит к появлению болевых ощущений во время еды и самостоятельному выпадению зубов.
- общее состояние пациентов значительно ухудшается.
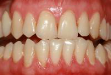
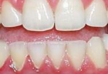
Пародонтит: фото




Диагностика заболевания
Перед тем как лечить пародонтит, необходимо определиться с видом и стадией развития воспалительного процесса, для этого необходимо:
- Обратиться к стоматологу для осмотра полости рта, при котором четко видны все наружные проявления болезни;
- Пойти ортопантомографию или рентген челюсти для определения степени резорбции костной ткани;
- Исследование методом компьютерной томографии дает представление обо всех нарушениях в зубочелюстной системе;
- При необходимости определяют состояние сосудов челюстно-лицевой области при помощи допплерографии;
- Сдать общий анализ крови для подтверждения наличия воспалительного процесса.
В случае развития тяжелой стадии пародонтита могут быть назначены:
- определение степени гипоксии десны;
- исследование качества микроциркуляции;
- определение плотности кости.
Методы лечения и профилактики заболевания
Лечение пародонтита должно подбираться индивидуально с учетом стадии развития воспалительного процесса и общего состояния пациента. Кроме того терапия должна выполняться комплексно, включая различные медикаментозные препараты, физиотерапевтические методы и, при необходимости, хирургическое лечение.
Консервативная терапия пародонтита
- Удаление мягких и твердых зубных отложений может быть проведено механическим методом (при помощи набора специальных крючков) или ультразвуком. Эта процедура является основополагающей для начала лечения воспалительных заболеваний пародонта, поскольку основной причиной их развития специалисты считают низкий уровень гигиены ротовой полости.
- Местное лечение — противовоспалительные препараты в лечении пародонтита используются для купирования воспалительной симптоматики и подавления активности патогенных микроорганизмов. Можно проводить противовоспалительное лечение в домашних условиях. Местная терапия проводится дважды в сутки на протяжении десяти дней, для нее используются полоскания различными препаратами (Хлоргексидин, Мараславин, Ротокан, Хлорфиллипт), гели (Метрогил-дента, Холисал), пародонтальные зубные пасты (Лакалут-актив, Пародонтакс);
- Общее медикаментозное лечение — при котором применяются антибиотики (Линкомицин, Таривид, Клиндомицин) в качестве курса инъекций или в таблетированной форме. Последние исследования свидетельствуют о том, что инъекции антибиотиков в десну приносят больше вреда чем пользы, поскольку создают чрезмерно высокую концентрацию препарата в месте воспаления и могут вызвать разрушение зубодесневого прикрепления.
- Физиотерапевтические методы могут использоваться только в качестве сопутствующих основному лечению заболевания. К физиотерапевтическим методам лечения относят электрофорез и лечение лазером. Они позволяют избавиться от симптоматики заболевания в более сжатые сроки.
Санация ротовой полости при лечении пародонтита является обязательным условием для получения положительных результатов от проводимой терапии. Во время ее проведения необходимо вылечить все больные зубы, удалить те которые уже не подлежат лечению, провести запланированный объем протезирования (при необходимости). Возможно, потребуется шинирование зубов, которое можно сделать при помощи стекловолокна, коронок или бюгельных протезов. Выбор методики шинирования осуществляет врач.
Хирургические методы лечения пародонтита
При помощи оперативного лечения можно радикально остановить развитие пародонтита. К методам хирургического лечения относят:
- метод закрытого кюретажа пародонтальных карманов;
- метод открытого кюретажа;
- лоскутная операция.
Целью оперативного лечения является устранение поддесневых отложений, грануляций, ликвидация пародонтальных карманов и стимуляция восстановления кости.
Профилактика заболевания заключается в достаточной гигиене ротовой полости, регулярном посещении стоматолога для проведения профилактических осмотров, своевременного адекватного лечения и протезирования, а также в полноценном сбалансированном рационе и отсутствии травмирования десен и зубов.













Добавить комментарий