Люминиры — секрет голливудской улыбки

Такие косметические дефекты как появление сколов и трещин на эмали, неправильная форма или слишком темный цвет зубов ранее можно было исправить только при помощи изготовления искусственных металлокерамических коронок или виниров из фарфора. Установка коронки или реставрация зуба при помощи винира требуют обработки зубов, нескольких визитов к стоматологу и, что самое главное, являются необратимым процессом (если снять такие конструкции, исправить вред нанесенный зубам уже невозможно).
Что такое люминиры?
Люминиры — это тончайшие пластинки из керамики, которые закрепляются на фронтальной поверхности зубов, закрывая все эстетические недостатки. Толщина их составляет всего лишь 0.2-0.3 миллиметра, что позволяет стоматологу прикрепить пластинку к зубу без предварительного спиливания эмали (в некоторых случаях проводится обработка, но она минимальна), при этом люминиры очень твердые и по прочности не уступают металлическим коронкам.
Преимущества и недостатки

Основными преимуществами перед другими конструкциями считаются:
- требуют всего двух (в редких случаях трех) визитов к врачу;
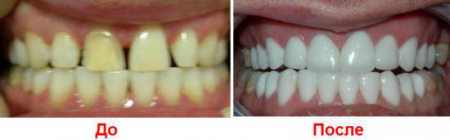
- способны исправить практически все эстетические дефекты зубов (при больших диастемах или тремах, поворотах зуба, изменениях его формы или высоты, перед установкой необходимо сделать наращивание);
- процедура практически безболезненна (местная анестезия проводится только в тех случаях, когда нужно стоматологическое вмешательство);
- не требуют обработки зубов (либо она минимальна) и установки временных конструкций;
- с их помощью можно выровнять нижний край зубов;
- со временем не изменяют цвет даже под воздействием сильных красящих веществ;
- после установки цемент, на который крепятся люминиры, способствует укреплению эмали зуба, выделяя в нее соединения фтора;
- имеют высокую прочность и долговечность (экспериментальным путем установлено, что срок службы люминира не менее 10-15 лет).
Как и любая стоматологическая конструкция, керамические накладки на зубы имеют несколько недостатков:
- самый большой недостаток этой новинки ее высокая стоимость, далеко не каждый может позволить себе такую реставрацию, цена за один зуб колеблется от 30000 до 40000 тысяч рублей;
- длительный срок изготовления между первым визитом к стоматологу и установкой (вторым визитом) проходит от 4 до 6 недель (такие сроки связаны с тем, что настоящие люминиры на зубы изготавливаются только фирмой Cеrinаtе в Америке и доставляются оттуда по индивидуальному заказу);
- к установке люминиров имеются противопоказания.
Показания и противопоказания
Основными показаниями к реставрации зубов при помощи голливудских виниров являются:
- наличие диастем и трем различной ширины;
- объемные фотополимерные реставрации или пломбы из других материалов;
- значительное изменение цвета эмали, которое невозможно устранить при помощи процедуры отбеливания;
- различного размера сколы и трещины на зубной эмали;
- искривленный зубной ряд или «стертые» зубы.
Противопоказания к установке люминиров могут быть трех типов.
1. Абсолютные:
- низкий уровень гигиены ротовой полости;
- индивидуальная непереносимость материалов для изготовления и фиксации;
- истончение эмали или нарушение ее прочности;
- потребность в большой реставрации из-за развития обширного поражения зуба кариозным процессом.
2. Связанные с наличием некоторых заболеваний:
- перенесенные оперативные вмешательства по поводу катаракты или патологий сетчатки глаза;
- наличие кардиостимулятора.
3. Относительные:
- нецелесообразно ставить голливудские виниры, если возможно применить другие методы лечения зубов;
- наличие вредных привычек (курение трубки, расщелкивание семечек зубами);
- нарушения прикуса (глубокий, снижающийся, перекрестный);
- наличие бруксизма, пародонтита.
Технология изготовления
При установке люминиров используется принцип симметрии (закрыть накладкой один зуб нельзя это выглядит неэстетично). Перед изготовлением люминиров надо провести полную санацию ротовой полости, вылечить и нарастить все нуждающиеся в этом зубы.
Этапы изготовления:
- Если зубы здоровы или были вылечены ранее, то на протяжении первого визита будет снят оттиск, отольется модель и при помощи компьютерной программы смоделированы люминиры. После чего модель отправляется в американскую лабораторию.
- Второе посещение – примерка накладок, если все подошло, то они устанавливаются сразу же, просто приклеиваются к передней поверхности зубов при помощи клея, устойчивого к пищевым кислотам и воздействию жидкостей.
- Перед приклеиванием люминиров эмаль зубов делают слегка шероховатой и обязательно протравливают кислотой для того чтобы добиться лучшей фиксации, устранив с поверхности зуба все органические частицы.
Как ухаживать за люминирами?
Уход за голливудскими винирами несложен, необходимо пользоваться качественными зубными пастами и щетками, не забывать о том, что нельзя употреблять слишком твердую пищу, разгрызать орехи и семечки и раз в полгода посещать своего стоматолога для профилактического осмотра и профессиональной чистки зубов.
На сегодняшний день люминиры это наилучший выход для людей, которые не могут решить эстетические проблемы ротовой полости при помощи других методов. Отзывы людей свидетельствуют о том, что настоящие люминиры служат долгое время, устраняя те недостатки, с которыми невозможно было справиться никакими методами.













Добавить комментарий