К каким осложнениям может привести параовариальная киста яичника?

Параовариальная киста яичника – это полостное образование придатка яичника, заполненное прозрачной жидкостью и состоящее из одной камеры. Обычно образуется у женщин репродуктивного возраста (20-40 лет) с частотой 8-16 %. Характеризуется медленным ростом, может достигать значительных размеров до 8-10 см в диаметре (описаны случаи до 30 см). Самостоятельно не рассасывается и не исчезает.
Тенденции к малигнизации (озлокачествлению) нет, поэтому параовариальная киста яичника не является предраковым состоянием. Тем не менее, если ее не лечить, то могут быть осложнения, угрожающие жизни женщины. Анатомически это образование располагается между листками широкой связки матки, яичником и маточной трубой.
Причины возникновения
Формирование параовариальной кисты яичника происходит в результате нарушения эмбриогенеза канальцев придатка яичников (параоварий). Как следствие эти канальцы не имеют выводных протоков, секретируемая жидкость скапливается в придатках с образованием полости. Можно выделить основные причины параовариальной кисты яичника, способствующие ее формированию:
- нарушения процесса созревания фолликулов яичника;
- гормональные нарушения, связанные с эндокринными заболеваниями;
- раннее половое созревание женщины;
- аборты в прошлом;
- гипертиреоз – состояние повышенной функции щитовидной железы.
Наследственный фактор причиной не является, однако предрасположенность к эндокринным заболеваниям также может способствовать развитию параовариальной кисты яичника.
Симптомы
Если киста небольших размеров, то она длительное время может ничем себя не проявлять. Обнаружить ее можно случайно при скрининговом УЗИ внутренних половых органов женщины. При достижении размеров около 4-5 см в диаметре и более могут появиться такие симптомы:
- боль внизу живота, которая не связана с менструальным циклом, усиливается при физических нагрузках;
- частые ложные позывы к мочеиспусканию и дефекации – связаны с давлением растущей кисты на органы малого таза и рефлекторным возникновением позывов;
- нарушения менструального цикла;
- увеличение живота в объеме – при размере кисты до 8-10 см.
Диагностика
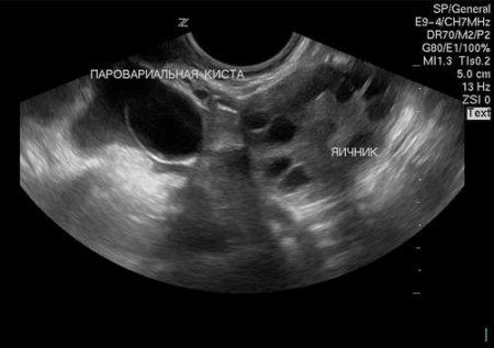
При больших размерах кисты врач может заподозрить ее наличие уже при осмотре и прощупывании живота. Из инструментальных методов в диагностике помогает УЗИ брюшной полости, на котором можно увидеть полостное образование. Для верификации диагноза проводится диагностическая лапароскопия параовариальной кисты яичника. Суть этого метода заключается во введении в брюшную полость лапароскопа (телескопическая трубка) с помощью которого можно увидеть кисту, ее размеры, точное местоположение, взять биопсию для дифференцирования с опухолями яичника.
Параовариальная киста яичника: фото УЗИ
Лечение заболевания
Консервативных (медикаментозных) методов терапии, приводящих к рассасыванию кисты не существует. Лечение параовариальной кисты яичника заключается в хирургическом удалении этого образования. В зависимости от размеров, гинекологом выбирается объем хирургического вмешательства:
- При небольшом размере проводится лечебная лапароскопия параовариальной кисты яичника. Через небольшие разрезы в брюшную полость вводятся телескопическая трубка и небольшие инструменты манипуляторы. Под контролем камеры хирург проводит удаление кисты. Такая операция малотравматичная. Яичник не удаляется. Послеоперационный период небольшой, порядка 3-5 дней.
- В случае значительных размеров кисты хирург вынужден удалить ее посредством срединной лапаротомии – разрез по средней линии живота для доступа к кисте и ее удалению. Это травматичная операция, часто приходится удалять и яичник. Послеоперационный период может длиться до 10 дней.
Осложнения параовариальной кисты
В связи с медленным ростом и отсутствием малигнизации сама по себе параовариальная киста не опасна. Однако по мере ее роста могут быть осложнения, которые несут угрозу здоровью и жизни женщины, требующие срочного хирургического лечения. Такими осложнениями являются:
- Перекручивание кисты на ножке – во время резких движений (занятия спортом, резкие повороты) может произойти смещение кисты относительно других органов малого таза с перекручиванием. При этом образуется ножка, на краю которой находится киста. В месте перекручивания пережимаются сосуды, происходит некроз (омертвление) тканей кисты. Признаком является резкая интенсивная боль во время физических нагрузок, которая самостоятельно не проходит. В таком случае необходимо как можно раньше обратиться за медицинской помощью. Лечение хирургическое, проводится срединная лапаротомия (рассечение передней стенки живота по средней линии) и удаление кисты вместе с яичником.
- Разрыв кисты яичника может произойти при напряжении мышц живота, содержимое кисты попадает в брюшную полость, вызывает воспаление листков брюшины – перитонит. Характеризуется резкой, кинжалоподобной болью внизу живота после физических нагрузок, сопровождающихся напряжением мышц живота. Лечение – ургентное оперативное вмешательство с удалением кисты, яичника и промывание брюшины.
- Инфицирование и воспаление параовариальной кисты яичника возникает при попадании в нее бактериальной инфекции. Содержимое кисты становится гнойным. Симптомы – боль внизу живота, интенсивная, но не резкая. Повышение температуры, лихорадка, возможна тошнота и рвота. Лечение — удаление кисты с яичником, антибактериальная терапия.
Параовариальная киста яичника и беременность
На ранних сроках беременности киста не представляет никакой сложности. Однако по мере роста матки киста смещается и может произойти одно из вышеуказанных осложнений.













Комментарии
у моей мамы кистаи я не знаю что делать
У меня параовариальная киста, сказали маленькая. Но я всё равно боюсь. Уже год прошел как сказали об этом.
Добавить комментарий